Kết quả cho thấy có tác dụng bảo vệ cá, và đây là phương pháp thay thế để thử nghiệm vắc-xin.

Ngành nuôi cá rô phi tại Zambia tuy còn tương đối non trẻ nhưng đang phát triển với tốc độ nhanh. Dù được hình thành từ những năm 1990, phải đến khoảng năm 2010, hoạt động nuôi thương mại trong lồng trên hồ Kariba mới thực sự được thúc đẩy và mở rộng quy mô sản xuất. Hiện nay, sản lượng nuôi trồng thủy sản của quốc gia này đạt khoảng 30.000 tấn mỗi năm.
Tuy nhiên, tương tự như các mô hình nuôi thâm canh ở nhiều khu vực khác, sự gia tăng nhanh chóng về sản lượng cá tại hồ Kariba cũng kéo theo những thách thức về dịch bệnh. Các đợt bùng phát vi khuẩn gây bệnh Lactococcus garvieae đã được ghi nhận kể từ khi sản lượng được mở rộng mạnh mẽ vào đầu thập kỷ này.
Vi khuẩn Lactococcus garvieae (L. garvieae) được biết đến là tác nhân gây bệnh trên nhiều loài cá vây, điển hình như cá hồi vân và cá đuôi vàng. Các biểu hiện lâm sàng thường gặp bao gồm lồi mắt, viêm kết mạc, cơ thể sạm màu, bơi lội bất thường, giảm hoặc mất khả năng ăn, xuất huyết nội tạng và sung huyết mạch máu, viêm phúc mạc, viêm màng não – tủy và nhiễm trùng huyết.
Trên cá rô phi, nhiễm L. garvieae được xem là một bệnh mới nổi và có xu hướng gia tăng mức độ nghiêm trọng trong khoảng mười năm trở lại đây, đặc biệt khi nhiệt độ nước vượt trên 20 °C. Thiệt hại kinh tế phát sinh do tỷ lệ chết biến động, chất lượng cá suy giảm bởi các tổn thương da mất giá trị thương phẩm, cùng với tốc độ tăng trưởng bị chậm lại. Hiện nay, vẫn chưa có vắc-xin thương mại nào được phát triển để bảo vệ cá rô phi trước tác nhân gây bệnh này.
Bài báo này – được biên soạn và tóm tắt từ bản gốc – trình bày một nghiên cứu nhằm phát triển vắc-xin tự thân, dựa trên dầu, sử dụng toàn bộ tế bào vi khuẩn để bảo vệ cá rô phi sông Nile (Oreochromis niloticus) khỏi nhiễm trùng L. garvieae. Vắc-xin tự thân được sản xuất theo yêu cầu riêng, với quy mô nhỏ đến trung bình và dựa trên các tác nhân gây bệnh được phân lập từ chính trang trại nơi chúng được sử dụng. Chúng có ưu điểm là ít bị ràng buộc bởi các quy định nghiêm ngặt áp dụng cho vắc-xin thương mại và cho phép cung cấp nhanh chóng hơn mà không cần đặc điểm hóa đầy đủ và toàn diện khi xảy ra dịch bệnh.
Thiết lập nghiên cứu
Tổng cộng 460 cá thể cá rô phi khỏe mạnh, với khối lượng trung bình 41,5 ± 16,5 g, được thu mua từ Palabana Fisheries – một trại nuôi cá thương mại không ghi nhận tiền sử bùng phát dịch bệnh, tọa lạc tại huyện Chirundu, phía đông nam Zambia. Cá sau đó được vận chuyển đến phòng thí nghiệm ướt của Trường Thú y, Đại học Zambia để phục vụ thí nghiệm. Trong giai đoạn thích nghi, cá được nuôi trong các bể sục khí dung tích 500 lít, sử dụng nước khử clo chảy liên tục, và được thuần hóa trong 10 ngày trước khi tiến hành thí nghiệm. Cá được cho ăn hàng ngày bằng thức ăn viên thương mại với khẩu phần tương đương 3% khối lượng cơ thể. Trong suốt thời gian nghiên cứu, các thông số môi trường nước được duy trì ổn định, với nhiệt độ trung bình 20 ± 2°C, oxy hòa tan trung bình 7,9 ± 2 mg/L và pH 7 ± 0,2.
Đối với việc chuẩn bị kháng nguyên và công thức vắc-xin, chủng Lactococcus garvieae được sử dụng trong nghiên cứu trước đây được phân lập từ cá bệnh tại một trang trại trên hồ Kariba. Chủng vi khuẩn này được nuôi cấy, ủ, ly tâm và sau đó tiến hành bất hoạt. Vắc-xin được bào chế ở nồng độ 10⁹ CFU/mL, dưới dạng nhũ tương nước trong dầu, sử dụng tá dược ISA 763 VG (Seppic, Pháp) theo đúng hướng dẫn của nhà sản xuất nhằm tăng cường đáp ứng miễn dịch. Nhóm đối chứng sử dụng chế phẩm chỉ chứa tá dược, được chuẩn bị theo cùng quy trình nhưng không bổ sung vi khuẩn. Tất cả các chế phẩm sau khi hoàn tất được bảo quản ở 4°C cho đến thời điểm sử dụng.
Tổng cộng 450 cá thể cá được chia thành ba nhóm thí nghiệm: nhóm đối chứng (tiêm dung dịch đệm phosphat – PBS), nhóm tiêm chất bổ trợ và nhóm tiêm vắc xin L. garvieae, mỗi nhóm gồm 150 cá thể. Cá ở từng nhóm lần lượt được tiêm PBS, chất bổ trợ hoặc vắc xin tương ứng. Mỗi nhóm thí nghiệm tiếp tục được chia thành hai nhóm lặp lại, bao gồm một nhóm dùng để theo dõi, giám sát và một nhóm dùng để lấy mẫu. Đối với mục đích lấy mẫu, mỗi nhóm được nuôi riêng trong một bể (AC), mỗi bể chứa 90 cá thể. Số cá còn lại được chuyển vào bể D để giám sát, trong đó có 60 cá thể nhóm đối chứng, 60 cá thể nhóm tiêm vắc xin và 60 cá thể nhóm tiêm chất bổ trợ, tất cả được nuôi chung trong cùng một bể (Hình 1). Cá trong bể D được đánh dấu phân biệt giữa các nhóm bằng cách cắt vây lưng, cắt vây đuôi hoặc giữ nguyên không cắt. Tất cả cá thí nghiệm đều được tiêm nội màng bụng với thể tích 0,1 mL, tương ứng là vắc xin, chất bổ trợ hoặc dung dịch PBS.

Sau khi tiêm phòng, toàn bộ cá trong bốn bể thí nghiệm (A, B, C và D) được nuôi dưỡng trong sáu tuần nhằm hình thành đáp ứng miễn dịch (Hình 1). Đến ngày thứ 43 sau tiêm phòng (dpv), cá được gây nhiễm bằng phương pháp tiêm nội màng bụng với 0,1 mL dung dịch huyền phù L. garvieae, tương đương 9,6 × 10⁵ CFU/cá. Sau gây nhiễm, cá được theo dõi trong 28 ngày (dpc), trong đó các biểu hiện lâm sàng được ghi nhận và mẫu được thu thập để tiến hành phân lập lại vi khuẩn.
Để biết thông tin chi tiết về kháng nguyên và công thức vắc-xin; tiêm phòng cho cá; thí nghiệm gây nhiễm; thu thập mẫu; các xét nghiệm và quy trình trong phòng thí nghiệm khác nhau được sử dụng; và phân tích thống kê, vui lòng tham khảo ấn bản gốc.
Kết quả và thảo luận
Trong các nhóm thí nghiệm, các biểu hiện lâm sàng của bệnh chủ yếu được ghi nhận ở nhóm đối chứng (PBS) và nhóm chỉ sử dụng chất bổ trợ. Dấu hiệu thường gặp nhất là đục thủy tinh thể, xuất hiện ở một hoặc cả hai mắt, có thể kèm theo hiện tượng lồi mắt. Tần suất xuất hiện cao nhất thuộc về nhóm đối chứng, tiếp đến là nhóm chỉ dùng chất bổ trợ. Ở nhóm đối chứng, các dấu hiệu lâm sàng bắt đầu được quan sát trong những ngày đầu sau khi gây nhiễm và đạt mức cao nhất vào ngày thứ 5 sau nhiễm (5 dpc).
Đối với nhóm sử dụng chất bổ trợ, các biểu hiện lâm sàng đầu tiên xuất hiện vào ngày thứ 5 sau nhiễm (5 dpc) và tiếp tục ghi nhận thêm vào ngày thứ 7 sau nhiễm (7 dpc). Trong khi đó, ở nhóm được tiêm phòng, chỉ có hai cá thể xuất hiện dấu hiệu lâm sàng: một cá thể vào ngày thứ 3 sau nhiễm (3 dpc), nhiều khả năng do tổn thương cơ học không liên quan đến tác nhân gây bệnh; cá thể còn lại xuất hiện triệu chứng vào ngày thứ 14 sau nhiễm (14 dpc) với biểu hiện đục giác mạc. Không ghi nhận trường hợp tử vong nào ở tất cả các nhóm thí nghiệm.
Kết quả nghiên cứu cho thấy cơ chế bảo vệ ở cá có thể được hình thành thông qua đáp ứng miễn dịch trung gian kháng thể. Ở nhóm cá được tiêm phòng, không ghi nhận các biểu hiện lâm sàng hay biến đổi bệnh tích sau khi chết; đồng thời, L. garvieae hầu như không được phân lập lại từ các mô tại bất kỳ thời điểm nào sau khi gây nhiễm, ngoại trừ lá lách của một cá thể. Ngược lại, các dấu hiệu lâm sàng và tổn thương bệnh lý sau khi chết đã xuất hiện rõ rệt ở nhóm chỉ sử dụng chất bổ trợ và nhóm đối chứng không tiêm phòng trong vòng 14 ngày đầu sau khi gây nhiễm. Bên cạnh đó, trong bảy ngày đầu tiên, số lượng L. garvieae được phân lập lại từ hai nhóm này cao hơn đáng kể so với nhóm được tiêm phòng.
Không ghi nhận việc tái phân lập vi khuẩn từ bất kỳ cá thể nào ở tất cả các nhóm kể từ 14 ngày sau khi gây nhiễm. Nguyên nhân của hiện tượng này hiện vẫn đang được tiếp tục nghiên cứu. Tuy nhiên, trong điều kiện thí nghiệm, Lactococcus garvieae đã được chứng minh là tác nhân gây nhiễm trùng cấp tính, thường biểu hiện trong vòng 10 ngày đầu sau khi nhiễm. Những cá thể không tử vong trong giai đoạn này có khả năng phục hồi và không loại trừ khả năng vi khuẩn được đào thải dần theo thời gian. Tỷ lệ nhiễm bệnh thấp quan sát được trong nghiên cứu này trái ngược với một số báo cáo trước đó, trong đó ghi nhận tỷ lệ chết đáng kể ở cá rô phi sau khi nhiễm L. garvieae.
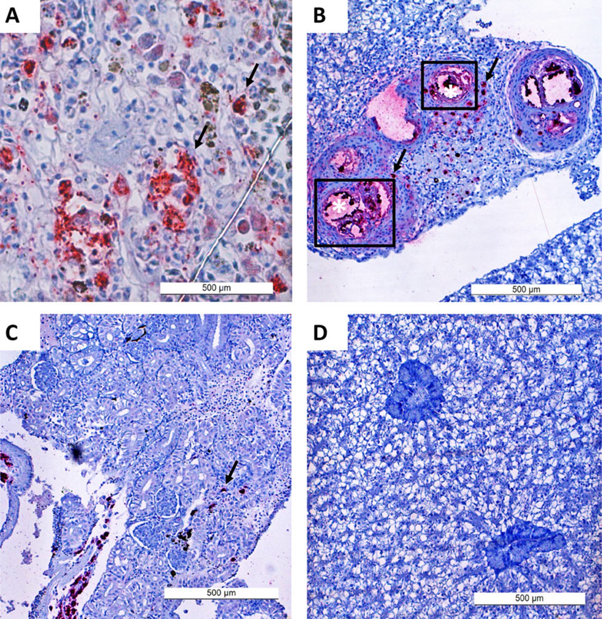
Trong nghiên cứu, kỹ thuật miễn dịch mô học đã được sử dụng như một phương pháp bổ trợ nhằm xác định tại chỗ sự hiện diện của L. garvieae trong các cơ quan khác nhau của cá. Phương pháp này cho phép phát hiện cả vi khuẩn còn sống tại thời điểm lấy mẫu lẫn vi khuẩn đã bị bất hoạt, bao gồm cả kháng nguyên từ vắc xin được sử dụng. Do đó, việc phát hiện L. garvieae trong nhóm cá được tiêm phòng, trong khi không thể tái phân lập vi khuẩn sống tương ứng, là điều hợp lý và phù hợp với các nghiên cứu đã công bố trước đây.

Trong nghiên cứu của chúng tôi, quá trình thiết lập nhiễm trùng L. garvieae trên cá rô phi diễn ra nhanh chóng, đạt mức cao nhất trong khoảng 3–5 ngày, phù hợp với các kết quả đã được ghi nhận trước đó. Phân tích sự phân bố của L. garvieae trong các mô khác nhau, dựa trên xu hướng và tần suất các cơ quan bị nhiễm theo thời gian, thông qua phương pháp phân lập lại vi khuẩn và hóa mô miễn dịch ở cả nhóm sử dụng chất bổ trợ và nhóm đối chứng cho thấy vi khuẩn ban đầu tập trung chủ yếu ở gan, thận và lách, sau đó mới lan sang não.
Trong nghiên cứu này, cá rô phi sông Nile được tiêm vắc xin L. garvieae có chất bổ trợ dầu đã tạo ra đáp ứng kháng thể cao hơn rõ rệt so với nhóm đối chứng và nhóm chỉ sử dụng chất bổ trợ sau 21 ngày tiêm chủng. Xu hướng này được duy trì cho đến ba ngày sau khi gây nhiễm, thời điểm ghi nhận sự suy giảm mạnh của nồng độ kháng thể. Việc duy trì mức kháng thể cao ở nhóm cá đã tiêm vắc xin tại thời điểm gây nhiễm, cùng với việc không phát hiện vi khuẩn trong mô (thể hiện qua việc không phân lập lại được vi khuẩn), cho thấy kháng thể đóng vai trò then chốt trong khả năng bảo vệ cá khỏi nhiễm trùng. Kết quả này phù hợp với cơ chế tác động của các vắc xin sử dụng chất bổ trợ dầu, cũng như các cơ chế bảo vệ đã được ghi nhận đối với những tác nhân gây bệnh ngoại bào.
Kết luận
Nghiên cứu này nhằm phát triển một loại vắc-xin tự sinh gốc dầu có khả năng bảo vệ cá rô phi nuôi tại hồ Kariba. Kết quả cho thấy vắc-xin được bào chế từ toàn bộ tế bào vi khuẩn do chúng tôi phát triển có hiệu quả trong việc bảo vệ cá rô phi trước sự nhiễm Lactococcus garvieae. Nhóm cá được tiêm vắc-xin thể hiện mức độ bảo vệ cao hơn rõ rệt so với nhóm chỉ sử dụng chất bổ trợ hoặc nhóm đối chứng. Những kết quả này phù hợp với các nghiên cứu trước đây, cho thấy vắc-xin sử dụng chất bổ trợ gốc dầu có khả năng tạo miễn dịch hiệu quả cho cá rô phi chống lại nhiễm L. garvieae.
Bên cạnh đó, nghiên cứu còn đề xuất một phương pháp thử nghiệm vắc-xin không gây chết, góp phần đáp ứng các yêu cầu về phúc lợi động vật và giảm thiểu đau đớn cho cá trong quá trình nghiên cứu. Chúng tôi kiến nghị cần tiếp tục thực hiện các nghiên cứu sâu hơn nhằm xác nhận và mở rộng những phát hiện này.
Theo Patricia Bwalya, Bernard M. Hang’ombe, Amr A. Gamil, Hetron M. Munang’andu, Øystein Evensen, Stephen Mutoloki
Biên dịch: Nguyễn Thị Quyên – Tôm Giống Gia Hoá Bình Minh
Xem thêm:
- Bổ Sung Kali Diformat Vào Khẩu Phần Ăn Giúp Cải Thiện Hiệu Suất Tăng Trưởng Của Cá Rô Phi Đực
- Yếu Tố Threonine Trong Khẩu Phần Ăn Ảnh Hưởng Đến Năng Suất Phi Lê Cá Rô Phi
- Các Phương Pháp Tiêm Vắc-Xin Bất Hoạt Bằng Formalin Khác Nhau Và Ảnh Hưởng Của Chúng Đến Khả Năng Miễn Dịch Và Sức Đề Kháng Bệnh Tật Của Cá Rô Phi
English
中文 (中国)